2016/01/18
最新機器導入ました!!
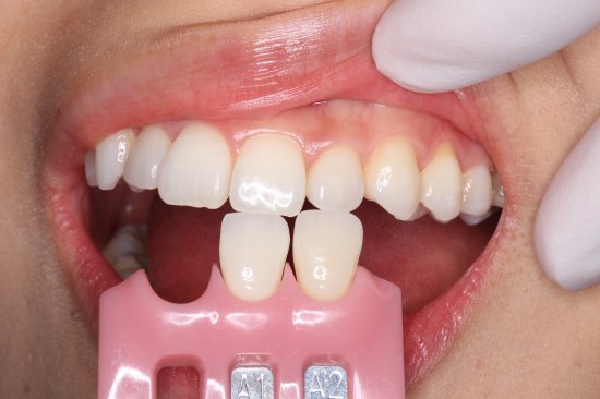
今回導入致しました 機器のご紹介をさせていただきます
スペクトロシェードという機器です
この装置の機能は審美治療時に歯科医師や技工士が患者様の歯を製作する際 どういう色合いか調べます
以前から当院には右側の装置があったのですがより詳しく治療の仕上がりを美しくすることができます
これを超える機器は現状ありません!!
歯の写真をとって
分析をするとここまで細かく色の特定を行います
メーカーによると審美治療を天才にする装置ということです
皆様の満足が得られますよう精進いたします
どうぞ宜しくお願いいたします
2016/01/06
あけましておめでとうございます
あけましておめでとうございます
本年もどうぞよろしくおねがいいたします
年明けはお休みもあり予約状況が混み合っております
検診などはできることであれば少し早目にご連絡いただくと幸いです
痛みがある場合はお待ちいただければできる限り対応させていただきます
2015/11/19
麻酔についての考え方!!
小さなお子様がいらっしゃるお母様よりよく受けるご質問に当院の考え方をお伝えしたいと思います
削る虫歯治療が必要な状態はC2以上のレベルに達すると必要になります
ここまで進むと麻酔がなければ痛みを我慢しながらの治療になりなかなか取りきれず応急的になってしまうため麻酔を使用します
そしてC1以下のレベルはエナメル質(最表層の硬いガラス層)にとどまっており削る必要がなく たとえ削っても痛みは麻酔がなくても痛みがありません
まず上記の文章は私的な意見ではなくカリオロジー(虫歯の考え方の学問)で歯科医師共通の認識です

これらを踏まえて幾つかよくされる質問をあげたいと思います ここからはいろんな考え方があると思いますが基本的には一般の方でもしっくりと理解されるのではないかと考えています
・「今までは麻酔なしで削っても痛みもないし嫌がらなかったのにすまいるさんでは麻酔をしてけずるのですか?」
<解説> 先ほどの公式の見解を読んでいただいて矛盾を感じていただけたでしょうか? 削っても痛みが出ない場合はC1レベルでそもそも削る必要がない可能性が高く C2になってしまったため痛みがない治療は麻酔を使用するしかありません
治療でもう一つ大切なことは削る必要のある虫歯だけを見極めることです 自分の経験ではダイアグノデントというレーザーの虫歯深度判定機器がなくてはならないものになっています 虫歯に関しては現在自分の経験での診断は一番信頼しすぎることが危ういと考えています レントゲン レーザー 虫歯検知液 視診(経験と勘)の幾つかの視点を持って診断します(現在当院では触診は虫歯のリスクを上げるため行いません 学校健診でも触診は禁止になっていますのでお子様方に健診の際「カリカリしてた?」って聞いてみてください 今では何のことか皆わからないと思います 私の時代はこすって確認されました)
・「今まで麻酔をしなかった虫歯治療でしたが麻酔を使用することで金額も高くなるのですか?」
<解説>保険では麻酔は処置代として算定点数はありません 特殊な親知らず抜歯の際の麻酔ぐらいしか麻酔の点数はありません つまり 麻酔をしてもしなくても金額は変わりません 保険の考え方としては虫歯を取るという結果に対する対価でありその過程は関係ございません
・「麻酔をするには小さいので虫歯を取れる範囲でとって詰めておきますと言われてきました 麻酔は何歳からできますか?」
<解説>麻酔も薬剤のため何歳になってもリスクはあります 何歳でも痛みが我慢できなくなれば麻酔は同じでリスクを持って治療を行うしかありません 一般的な小さいからというのは麻酔は痛みを取るための痛みであることが理解できないため歯科恐怖症やパニックに陥るのが主な理由です できれば上手にできるようになれば麻酔を早め使いしっかりとした治療を開始することは理想です
今回のブログの内容は少し個人的な見解も含めて書かせていただいておりますのでご批判ある先生方もいらっしゃるかもしれません
自分自身もまだまだ未熟と考えているためいろんな考え方があることも間違いではないと思います
いつも私がかんがえていることは今回のような疑問がでることがないようにするには説明や一般の方でもすんなり理解できるよう筋が通った説明をすることです
2015/10/23
次世代ホワイトニング ポリリンプラチナホワイトニングシステム導入しました!!
現在まで当院ではビヨンドというホワイトニングシステムで施術を行ってきました
ホワイトニングの効果も優秀な成績でしたが 医療の発展はめざましく次世代ホワイトニング(ポリリンプラチナホワイトニング)が2013年誕生し当院で今回導入しましたのでご紹介いたします!!
『ポリリンプラチナホワイトニングとは・・・』
ポリリン酸は歯科でムシ歯予防に利用するため研究されていました その予防効果を歯に浸透させるためホワイトニングで用いられる過酸化水素水を利用する実験が行われました すると虫歯予防の効果が増した事はもちろん一緒にホワイトニング効果が著しく現れたのです以来ポリリン酸ホワイトニングは研究され虫歯予防効果のある次世代のホワイトニングとして開発されました

更にプラチナを配合しホワイトニング効果に加え光沢感が増し 輝いているように見えます(ポリリン酸プラチナコーティング) ステイン(着色)もつきにくくなります

『施術方法って大変になったの?』
従来のホワイトニングとの違いは お掃除方法 材料 光の種類 時間(従来より短縮)が変わり 基本的には施術方法は変わりません
<お掃除後>
ビヨンドシステム(従来型ホワイトニング)
薬を歯の上に塗り 光を当てます (8~12分×3回)

ポリリンプラチナシステム(次世代型ホワイトニング)

薬を歯の上に塗り 光を当てます (5~6分×3回)

以上のように施術方法にあまり変化がありません
この機器の導入はビヨンドより優れたものであるという事ではなく個人差のあるホワイトニング効果を確実にしてくれます
まだあまり広く知られていないためネット上でポリリン酸ホワイトニングでは変わらないなどいろんな口コミ情報がありますが当院では確実にホワイトニング効果を実感していただけます!!
当院では以前からホワイトニングに力を入れてきたため技術的なノウハウがあり自信を持ってご提案できます
新しい技術ですがホワイトニングを実感していただく事には変わりませんので施術代に変更はございません
料金

院長の実体験をご紹介いたします!!
ケース1
<before>

<after>15分間のホワイトニング
<10日後>
着色はついてきました
ケース2
<before>
<after>
当院のホワイトニングホームページはこちらから
2015/09/16
奥歯なしは動脈硬化リスクが倍に!!(新聞)
読売新聞で掲載されました
この他にもいろんな事が分かっています
またご紹介したいと思います

2015/09/02
歯科治療・水に細菌…機器に滞留し増殖 対策不十分(新聞)
以前からブログで書かせていただいていたのですが とうとう新聞に取り上げられました
読売新聞さんからでした
『歯科治療・水に細菌 機器に滞留し増殖 対策不十分』という水の汚染の内容でした
詳しくはこちらから


当院では以前より万全の対策済みですご安心ください
こちらのページをお読みください「きれいなお水の歯医者さん』
2015/08/25
デジタルレントゲン追加導入しました
現在医療は高度になっている反面 精密機械は壊れやすい欠点があります
どんな物でも壊れる事は承知していますが 貴重なお時間を割いてご予約いただく患者様にはご迷惑をかけてしまうだけです
現在当院では故障した時困るものを 随時追加購入しいつも変わらぬ診療を心がけています
2015/07/15
新「きれいなお水の歯医者さん」ページ開設いたしました
約8ヶ月かかりやっと完成いたしました
最近患者様に「ホームページを熟読してるよ!!」というありがたいお言葉をいただくことが多くなりました
うまく伝わるように 間違いがないように 丁寧に何度も吟味した結果時間がかかってしまいました
しかしながらじっくりよんでいただけるように製作できたと思います
お時間がある方はご覧いただければと思います
2015/07/13
医師のアンケートのおもてうら!
最近 歯科医師が選ぶよい歯医者さんという番組がありました
歯科医院の営利目的な紹介の内容でした
私的な意見では患者様のアンケートによるよい歯医者さんの方がよいのではないかと以前ブログで書かせていただきました
最近こんな記事がありました 詳しくはこちらから「トラブルを防ぐため患者様をやめる」
医師501人のアンケートだそうです
トラブルを防ぐために「患者様」をやめる
「患者様」という考え方は、やめた方が良い。
「お金(診療費・医療費)を支払う」という点では、顧客と同様だが、こちらが営利目的でない以上、「顧客」ではない。
「患者様」と呼ぶことで、患者さんが勘違いしていると思う。
「様」と客扱いしない。
「患者さま」の呼称は止めるべき。
このページは医師専用に公開されている医療業者ニュースのページです
すごく同業者として悲しい気持ちになりました
やはりおもてなしがとても大切だと再確認させられました
「おもて」「うら」がない気持ちで患者様をお迎えする「真心(まごころ)」大事にしていきます
患者様とおよびする事は決してトラブルにはならないと思います
うらのある気持ちがトラブルを生むのではないでしょうか?
2015/06/21
TVドラマ「天皇の料理番」をみて・・
タイトルでは番組名を使用させていただきましたが私が歯科診療で大事にしていることを書かせていただこうと思いました
「天皇の料理番」すごく面白くて毎週見ているのですがその中でいつも私がいいなと思う言葉
「まごころ」です いろんな事件や失敗があるのですがまごころを大切にして乗り越えていくのです
医療はもちろん事件や失敗は故意でなくても許されないことだと思います
私がマネージャーと考えスタッフになんども話ししていることがあります
『歯科診療で大切なこと 「おもてなし」です 患者様への接遇の仕方ではありません 「おもてなし」この言葉の語源は諸説ありますが おもてとうらがない気持ち「おもてうらなし」からできたそうです
接遇の基本はまごころです 仕事は楽しい事だけではありません大変なこと理不尽なこともあるかもしれません ですがそのときいつも自分の家族のように患者さまを思うことでおもてうらの気持ちがなくなり 「おもてなし」になります
すまいるではその気持ちをいつもおもうことが大切だと考えています どんなことがあっても家族であればより良い腕でよりよい設備で治療に望みたい 自分に足りないことはないか? 足りなければどうすれば救えるのか? そして治療 接遇ふくめてこの病院でよかったと思ってもらいたい
これが私の歯科診療の向上へのモチベーションつながっています おもてなしの気持ちが治療を上手にしていきます』
これをもしスタッフが読んだら毎回院長言っているな?とおもわれるかもしれません
年で最近忘れっぽくなったわけではありません すまいるで一番大事な事なので何度も話しています
最近テレビでよい歯医者の見つけ方のような番組が多いなと感じます
いつも歯医者さんがアンケートをうけて答えます
どうしても歯科医師の営業的なニュアンスが私には感じとれてしまいます
たまには全国の患者様のおおがかりなアンケートでよいと思う歯医者さんを紹介してみてはいかがでしょうか?
そうすれば歯科医師も患者様が何をおもっているかが分かりよりよい治療サービスができると思うのです
きっと都合がいいなと思うこともあるかもしれませんが でも患者様はそれでいいんだと思います そこに私たちが向き合わなければいけない答えがあるんだと思います
私自身まだまだ人間的にも未熟で世の中に物申すほどではないといつも思っているのですが今回とても楽しませていただいている番組をみてやっぱりどんな分野でも「まごころ』なんだなと自分は間違ってないなってうれしくなりブログで書いてしまいました
もちろん私は歯科医師ですので基本的には質の高い技術提供が生業だと自覚しまごころを糧に精進してまいります
こんな自分にやりがいを感じさせていただける患者様 私を含めスタッフ指導サービスを管理してくれているマネージャー
理念に賛同してくれているスタッフ 業者さま 気持ちよく仕事をさせてくれる家族全ての方に感謝申し上げます
長々とブログを読んでいただきありがとうございました





